Man carries young son across a beach.

Our Health Library information does not replace the advice of a doctor. Please be advised that this information is made available to assist our patients to learn more about their health. Our providers may not see and/or treat all topics found herein.

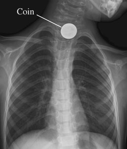
Chest X-Ray of a Swallowed Object

X-ray of swallowed object

Courtesy of Intermountain Medical Imaging, Boise, Idaho. All rights reserved.

Front view of a child's chest X-ray shows a swallowed coin.

Current as of: October 19, 2024

Author: Ignite Healthwise, LLC Staff
Clinical Review Board
All Ignite Healthwise, LLC education is reviewed by a team that includes physicians, nurses, advanced practitioners, registered dieticians, and other healthcare professionals.

Current as of: October 19, 2024

Author: Ignite Healthwise, LLC Staff

Clinical Review Board
All Ignite Healthwise, LLC education is reviewed by a team that includes physicians, nurses, advanced practitioners, registered dieticians, and other healthcare professionals.